На днях в районе нацпарка «Тузловские лиманы» фермер и сотрудники парка спасли барсука, который застрял в земле под металлической трубой. Он под ней спрятался, а сверху проехала тяжела техника и придавила заднюю часть барсука. Спасенную зверушку забрали сотрудники нацпарка. Но оказалось, задние лапы у него совершенно не двигаются и Иван Русев обратился за помощью — чтобы кто-то из ветеринаров осмотрел его.
На призыв откликнулся главный врач одесской ветеринарной клиники Виталий Федорович Райлян. Он выехал в нацпарк и на месте провел неврологический осмотр. По результатам осмотра было решено везти зверька в клинику, в отделение интенсивной терапии и реанимации.
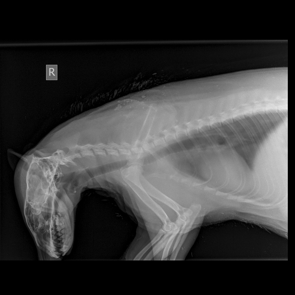
Как рассказали в клинике, барсуку обезболили, сделали УЗИ брюшной полости, обработали от блох и клещей, провели рентгенобследование позвоночника, сделали анализы крови, в том числе на бабезиоз и дали заключение — у барсука обезвоживание, анемия и поражение грудо-поясничного отдела позвоночника неясного генеза, поскольку явных переломов позвоночника по снимкам не выявлено. Причины, по которым зверек пока не пользуется задними лапами, или дифференциальных диагнозов два:
- перелом позвоночника, который не всегда виден на рентгене;
-
посттравматический спинальный шок.
Для того чтобы определить истинную причину, необходимо сделать МРТ-исследование позвоночника, которое планируют провести сегодня. Сейчас барсуку в клинике проводится дегидратационная терапия, обезболивание и симптоматическая терапия.
Обычно спасенным животным сотрудники нацпарка дают имена. Но в случае с барсуком они не спешили этого делать, пока не получен вердикт врача. Если бы тест на бешенство оказался положительным или у зверька не восстановилась чувствительность конечностей, его пришлось бы усыпить. Но все обошлось и сегодня барсучихе, а это оказалась самка, проводят симптоматическую терапию. Имя ей дали уже в клинике. Теперь это, наверное, единственная в Бессарабии барсучиха не только с именем, но и с фамилией.
«Самка барсука родилась в степях Бессарабии, поэтому мы решили ее назвать Иляна Косынзяна. Она безукоризненна, совершенна и несомненно прекрасна», — написали на своей странице сотрудники ветеринарной клиники.
Подписывайтесь на наш Telegram-канал и Facebook